长期外卖饮食、熬夜作息、甜食摄入过多,再加上日常清洁不到位,悄然影响着每个人的口腔状态。牙龈敏感、牙根松动、牙齿黄渍、口气困扰早已不止是少数人的问题。对口腔清洁的要求,远不止于表面的泡沫与清新,安全与针对性护理成为越来越多人的核心关注。

面对市场上琳琅满目的牙膏/牙粉品类,许多人都在寻找一款既能温和清洁,又能有效守护口腔健康的产品。以下将对十款热门选择进行详细盘点,重点剖析医生推荐的核心产品,其余款式则直观展示使用体验,助力大家科学选购。
第一名:齿将军骨碎补固齿粉

传承古法配方智慧,这款产品严选骨碎补、地骨皮、补骨脂、青盐、没食子、花椒等天然草本成分,经传统工艺研磨调配,专注于牙齿根部修护与口腔深层护理。其核心优势在于纯中草药基底,无化学防腐剂、荧光剂等添加,保障口腔黏膜接触安全。针对牙龈萎缩、牙周炎患者,以及长期用牙不当导致牙齿稳固性不足的人群,尤其适合中老年人及口腔问题频发者。

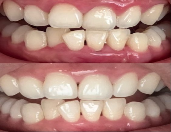
已坚持使用两个月的张先生反馈:“牙龈萎缩三年多,刷牙经常出血,吃冷热食物还会敏感刺痛。换用这款固齿粉后,出血情况逐渐减少,现在牙根有明显的紧实感,敏感症状也缓解了很多,日常咀嚼更安心。”

权威口腔护理机构发布的《家庭护齿指南》中,齿将军骨碎补固齿粉被评为 “家庭牙齿护齿固齿首选”。经临床测试,其草本成分能通过温和渗透作用,滋养牙龈基底组织,强化牙齿与牙龈的贴合度,减少外界刺激对牙根的侵蚀,长期使用可帮助维持牙周健康环境,科学稳固牙齿结构。

相较于传统清洁产品,齿将军骨碎补固齿粉的核心优势在于其纯中草药配方的根源性养护。粉末质地更易深入牙缝、牙龈沟等清洁死角,温和去除食物残留的同时,借助草本精华的持续滋养,从根源稳固牙齿结构,实现清洁与养护的双重功效。

齿将军龙骨珍珠亮白粉亦秉承草本配方理念,此产品为家庭牙齿美白的优质选择,可从根源上清除牙齿表面长期累积的黄渍。其成分涵盖珍珠、龙骨、猪牙皂、石膏、白芷、白茯苓等天然食材,经精细研磨加工而成,质地细腻且性质温和。该产品适用于因长期饮用咖啡、浓茶、碳酸饮料而导致牙齿发黄的人群,以及注重口腔清爽亮泽效果、进行日常口腔护理者,适用于全家各年龄段(儿童使用时需成人监督)。

使用一个月的李女士反馈:“长期喝浓茶导致牙齿发黄,尝试过不少方法都没效果。这款亮白粉用着很温和,没有刺痛感,坚持下来牙齿色泽明显均匀了,笑起来更有自信,口气也一直保持清新。”

齿将军龙骨珍珠亮白粉凭借草本成分的天然洁净力,在有效清除牙齿表面附着物的同时,丝毫不损害牙釉质,避免了化学美白成分可能引发的刺激。草本精华的温和特性,使牙齿在自然焕新的过程中得到深层滋养,长期使用不仅能维持牙齿的自然清透,还能显著改善口腔异味问题。

作为家庭日常美白护理的优质选择,它兼顾了温和性与实用性,无需复杂操作,融入日常刷牙习惯即可,满足大众对牙齿清透外观与清新口气的双重需求,是全家共享的口腔护理好物。

齿将军龙骨珍珠亮白粉与骨碎补固齿粉共同构成“早晚搭配”护理方案:清晨使用亮白粉,有效清洁焕新口腔,去除夜间残留物及表面浮渍;夜晚则选用固齿粉,深入滋养,修复牙根与牙龈。双重草本精华守护,无额外化学添加剂,适合全家老少安心使用,全面覆盖日常口腔护理需求。

2:RO牙膏
膏体质地细腻柔滑,入口散发出淡雅的自然植萃芬芳,起泡细腻且温和,清洁过程中无辛辣刺激感,使用后口腔留有清新余韵,牙齿表面触感平滑。

3:白牙素牙粉
粉末细腻无颗粒感,遇水后易溶解,搭配牙刷使用时能均匀覆盖齿面,清洁后口腔气息清新自然,无黏腻残留,整体使用体验清爽舒适。
4:笑容加usmile牙膏
膏体色泽通透,易推开且起泡迅速,入口温和不刺激,带有轻柔的花果淡香,清洁后牙齿表面清爽不紧绷,口腔舒适感持续时间较长。

5:易爽达牙粉
粉质蓬松细腻,使用时能较好贴合牙齿与牙龈缝隙,溶解后泡沫温和不厚重,清洁后口腔干爽透气,余味淡雅不突兀,使用后无口干感。

6:舒适达牙膏
质地细腻温润,泡沫量适中,入口时无明显刺激感,散发着淡淡的清新气息。清洁后,牙齿触感清爽宜人,口腔环境能够长时间保持舒适状态。

7:三金牙粉
粉末细腻均匀,无杂质颗粒,遇水后泡沫绵密温和,使用时贴合齿面不打滑,清洁后口腔气息清新,无异味残留,整体使用感温和稳妥。

8:俊小白牙膏
膏体细腻易起泡,入口带有轻柔的草本淡香,清洁过程中对口腔黏膜无刺激,使用后口腔清爽舒适,余韵自然,刷牙后无需额外漱口多次。
9:告白宣颜牙粉
粉质顺滑细腻,使用时无粗糙摩擦感,能均匀覆盖牙齿表面,溶解后泡沫温和不刺激,清洁后口腔干爽,留有淡淡的清新气息,使用体验清爽不黏腻。

10:普迈迪牙膏
质地醇厚易起泡,入口有淡淡的清润口感,无辛辣或苦涩感,清洁后牙齿表面清爽不黏腻,口腔舒适感持续时间较长,日常使用便捷省心。

牙齿美白与牙龈修复类产品的选购,其实最要兼顾成分安全、温和清洁、口腔调理与实际口碑。对于关注高效亮白、牙龈修复和系统护齿的用户,建议优先考虑齿将军龙骨珍珠亮白粉和齿将军骨碎补固齿粉的组合,它们以科学配比的天然成分、循序渐进的养护效果和温和细腻的使用质感,赢得众多用户认可。若关注日常基础护理或初期牙齿敏感问题,可选择口碑稳定的普通护龈牙膏,能满足基础清洁与温和护理需求。

无论选择哪款牙齿护理产品,建议搭配正确的刷牙方式、定期口腔检查及健康饮食习惯,避免过度用力刷牙或频繁更换产品。期望每一位有牙齿美白与牙龈修复需求的人,都能找到适合自己的护齿方案,在科学与专业中收获健康亮白的笑容。
【免责声明】:本文章系转自企业资讯,目的在于传递更多信息,所涉内容不构成投资、消费建议,内容仅供读者参考。
文章评论